
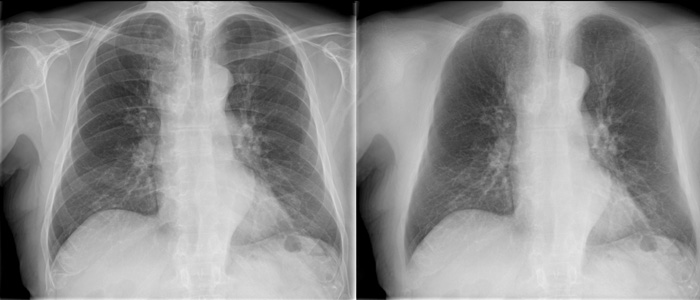
Innovative image enhancement technology designed to increase the clarity of adult erect chest radiographs by suppressing bones on digital images.

A grid-less workflow with SkyFlow Plus.
A grid-less workflow with SkyFlow Plus.
Innovative image enhancement technology designed to increase the clarity of adult erect chest radiographs by suppressing bones on digital images.
*Not all packages are available for all DXR systems and package components vary per system. Windows 10 is a baseline requirement for this clinical package. **ClearRead Bone Suppression by Riverain Technologies ***Based on 4 images on average per examination. Validated by clinicians in a Philips’ development environment.




You are about to visit a Philips global content page
Continue