







Compressed SENSE'in eşsiz yetenekleri hakkında daha detaylı bilgi için sizi arayalım.
Geri ödemelerin azaldığı ve kronik şartların MR prosedürlerinin artmasına ve daha uzun bekleme sürelerine yol açtığı bir toplumda, radyoloji departmanları üzerindeki baskı gittikçe artmaktadır. Bugün, daha fazla hızlanma için görüntü kalitesinden ödün vermek veya daha az görüntüleme yapmak durumunda kalınmaktadır. Bu nedenle, artan verimlilik talebini karşılamak için hızlanmada bir teknolojik gelişme daha gereklidir. Philisp, hız konusunda (SENSE gibi) uzun süredir devam eden liderlik konumumuzu güçlendirerek üretkenlikte yepyeni bir atılım olan Compressed SENSE'i getiriyor.
Hedefimiz, görüntü kalitesinden ödün vermeden tarama süresini kısaltmak”
Sabine Sartoretti, MD, Nöroradyoloji Bölüm Başkanı, Radyoloji ve Nükleer Tıp Fakültesi, Kantonsspital Winterthur, İşviçre
'Compressed SENSE, hızlı çekim tekniği ile görüntü kalitesinde hiçbir değişiklik yapmadan inceleme verimliliğini yükseltiyor.''
Sachi Fukushima, RT, Kurashiki Central Hastanesi, Japonya

Compressed SENSE'in temel ilkeleri ve verimlilikteki yaklaşımsal değişikliğini keşfetmek, Compressed SENSE'in görüntü kalitesi odaklı nasıl tasarlandığı, ve klinik MR görüntülemede verimliliğe nasıl yarar sağladığı görmek için daha fazla bilgi edinin.

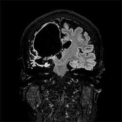
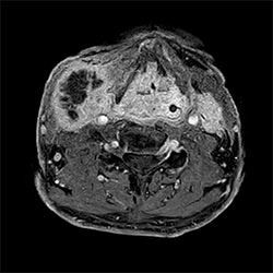
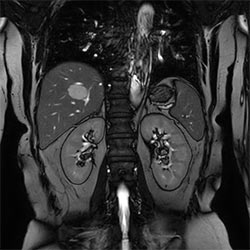
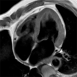
MR görüntülemeyi birçok farklı kontrast tiplerinde ve sekanaslarda yapabilen, 2D ve 3D görüntülemeleri hızlandıran Compressed SENSE hakkında daha detaylı bilgilenmek için Kantonsspital Winterthur'ın (İsviçre) deneyimlerinden faydalanın.

You are about to visit a Philips global content page
Continue