June 2023 – Philips Fieldstrength MRI Customer Story

Impact of Compressed SENSE on cardiac MR services at Nottingham University Hospitals.

cardiac MRI service

Philips’ Compressed SENSE is a breakthrough acceleration technique that shortens single MRI sequences and full MRI examinations. It can be applied in all anatomies and all contrasts, in 2D, 3D, dynamics and 4D MRI. It might be presumed that Compressed SENSE allows shortening of all cardiac magnetic resonance (CMR) scan times and it certainly does for cines, flow measurement, late gadolinium enhancement (LGE) and multishot black blood by allowing shorter breath holds.


But some cardiac MR scans are fixed in length, such as single shot black blood and T1 mapping which limit acquisition to one image per beat. Even if each source image is acquired faster, the scan still takes the same number of heart beats. Similarly, for perfusion, the scan duration is matched to the duration of the first-pass of contrast agent through the heart; higher acceleration factors do not result in a shorter scan time. Compressed SENSE does not shorten the scan time of these scans, but it still has a significant impact by enabling shorter data readouts; the data is less affected by the motion of the heart beating. This produces crisper CMR images and can increase diagnostic confidence for the expert reader

Better patient experience leads to improved diagnostic  confidence

At Nottingham City Hospital, Kevin Strachan is the cardiac lead radiographer and manages the day-to-day of a busy clinical MRI service, as well as reporting a range of examinations and referrals. He has used Compressed SENSE extensively, and remarks on the impact it has for viability studies. This is because for many patients, LGE is the most important scan, and often it is the last scan to be acquired - when patients can be fatigued from previous breath holding. Using Compressed SENSE, the duration and number of breath holds prior to the LGE scan can both be reduced. Mr. Strachan reported, “This is a big impact to our clinical service – the patient is less tired for the LGE scan and can perform a better breath hold. Whilst our LGE scans were normally diagnostic without Compressed SENSE, speaking to our imaging Consultant Cardiologists, we now have a better quality of LGE imaging in circumstances where we would have normally struggled - such as poor breath-holders and arrhythmic patients.”

Kevin Strachan
We now have a better quality of LGE imaging when Compressed SENSE is used throughout the CMR examination.”

Kevin Strachan

Cardiac MRI lead and reporting radiographer at Nottingham University Hospitals NHS Trust

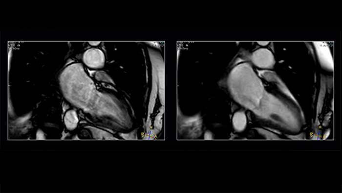
Shorter-breath holds are particularly impactful for patients who cannot manage the length of the breath-hold instruction. Mr. Strachan commented, “using Compressed SENSE sometimes pulls a non-diagnostic study into being a diagnostic study. That itself is very valuable.” For example, see Fig. 1

Figure 1. Shortening acquisition and denoising from C-SENSE provides confidence in long-axis cine of a patient with atrial fibrillation. Left to right: SENSE x2, C-SENSE x4

Clinical images figure 1

The impact of motion is reduced by Compressed SENSE in two ways. As well as allowing data to be acquired in a shorter duration [2] (so less movement [2] has occurred during readout), it also intrinsically includes denoising, which is a feature of any compressed sensing based acceleration method. If a motion artefact has a similar appearance to the smeared-aliasing which is deliberately produced by the incoherent undersampling which Compressed SENSE employs, the reconstruction may filter some of it out.


Compressed SENSE has also enabled a change in strategy when scanning our most challenging patients: moving to 3D LGE acquisitions. A 3D whole-heart breath hold in approximately 11 seconds (depending on HR) has been enabled by combining Compressed SENSE with additional signal afforded by 2-echo mDIXON, which also allows water-only and fat-only image reconstruction (see Fig. 2).

Figure 2. In LGE C-SENSE can accelerate 2D and 3D acquisitions. Left to right: free-breathing single-shot SENSE x2, free-breathing single-shot C-SENSE x3 – a shorter readout provides a sharper image, equivalent slice from 3D mDIXON C-SENSE x6 breath hold (13s at 70bpm)

Clinical images figure 2

Conventional SENSE acceleration is still an established and reliable scan acceleration method. For patients with good breath holding capacity, conventional SENSE is still sometimes preferred. But for patients whose clinical history limits their ability to breath hold (e.g. bradycardia, COPD, heart failure, pleural effusion), Compressed SENSE is a very effective option and can be considered a highly efficient tool in a cardiac MR radiographer’s armory for circumstances where the patient’s compliance or cardiac rhythm is not optimal.

 

Shorter readouts lead to improved diagnostic confidence

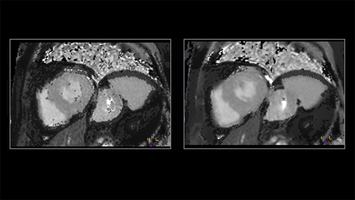
Shorter data readouts [2] enabled by Compressed SENSE provide benefit for black bloods and T1 mapping as well with sharper images acquired. For T1 mapping this results in fewer unconfident pixels on the resulting T1 map (see Fig. 3).

Figure 3. T1 mapping: shorter readouts using C-SENSE x3 leads to fewer unconfident pixels. Left to right: SENSE x2, C-SENSE x3

Clinical images figure 3

Impact on NHS staff experience

Mr. Strachan noted how Compressed SENSE provided additional flexibility for his staff, when adapting CMR examinations for each patient. “Experienced staff can tell early-on when patient is going to struggle with longer breath holds. Applying a little more Compressed SENSE acceleration when patients struggle is often the best quick fix.” Additionally, in stress perfusion scans, Compressed SENSE allows the acquisition of multiple slices in each heartbeat in a shorter total amount of time [2], and that means a higher stress heart rate can be accommodated without sequence adjustments [2].


Mr. Strachan continued, “We spent time with Philips representatives to understand the capability of this new tool and when to use it.” The staff at NUH gathered the immediate benefit of Compressed SENSE in patients with clinical history of bradycardia, COPD, heart failure and pleural effusion. After the first few breath-holds for the anatomical axial scan, they were able to take a decision as to whether the patient would benefit from the shorter breath-holds allowed by Compressed SENSE [2].

An exciting future

Philips has led in scan acceleration for many years, since the introduction of Sensitivity Encoding (SENSE) in 2000, including methods such as k-t BLAST, Multiband SENSE, Compressed SENSE, and k-t SENSE. Compressed SENSE is the acceleration engine for Philips’ new SmartSpeed which incorporates award-winning artificial intelligence technology [1], providing even higher acceleration of MR acquisitions. Non-Cartesian scanning now also benefits from Compressed SENSE acceleration. 


At Philips we focus on speed, diagnostic confidence and patient and staff comfort to improve the lives of the people that access and provide healthcare services. Innovations such as Compressed SENSE and SmartSpeed have not been achieved without strong collaboration with our customers.

Kevin Strachan
Luca Agazzi
David Higgins

 

Kevin Strachan

Cardiac MRI lead and reporting radiographer

Nottingham University Hospitals NHS Trust

 

 

 



Luca Agazzi

Clinical Applications Specialist MR

Philips UK&I

 

 

 


David Higgins PhD

Senior Clinical Scientist

Philips UK&I

 

 

Share this article

Register for FieldStrength newsletter

Our periodic FieldStrength MRI newsletter provides you articles on user experiences and best practices. Subscribe now to receive our free FieldStrength MRI newsletter via e-mail.

Footnotes

 

1. N. Pezzotti et al., “An Adaptive Intelligence Algorithm for Undersampled Knee MRI.
Reconstruction,” in IEEE Access, vol. 8, pp. 204825-204838, 2020, doi: 10.1109/ACCESS.2020.3034287.
2. Compared to SENSE imaging.

Results from case studies are not predictive of results in other cases. Results in other cases may vary.

We are always interested in engaging with you.

Let us know how we can help.

1
Select your area of interest
2
Contact details

You are about to visit a Philips global content page

Continue

You are about to visit a Philips global content page

Continue

Sitemiz Microsoft Edge, Google Chrome veya Firefox'un en son sürümüyle en iyi şekilde görüntülenebilir.